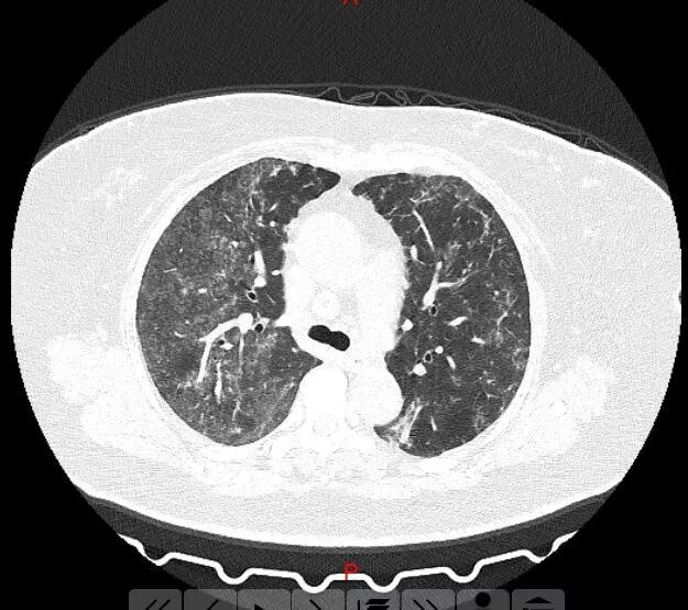
近日,杭州两名女子纷纷检查出肺部呈毛玻璃影,难道是新冠肺炎?据调查,两名女子一直居家隔离,没有外出迹象,也没有武汉接触史。这是为什么呢?
原来,两位女士居家期间,因为害怕新冠肺炎,每天定时在家里喷洒84消毒液,而且都是高浓度的!每次消毒后,张女士和王女士头晕、乏力的症状明显加重。
经过权威医院诊断表明:是因为84消毒液引起的过敏性肺泡炎!
中医建议:家庭消毒,可以使用苍术+艾叶
操作方法:
按家里每平方米1克苍术、1克艾叶的分量计算好药量,然后在电饭锅里加入清水,再将药材浸泡上半个小时,然后关闭要消毒房间的门窗,将电饭锅通电,持续加热。等水汽不断蒸发出来,熏蒸1个小时左右即可。
杀菌效果:
室内空气的细菌数量降低到原来的1/20左右,杀菌率达到93%以上。
科学诠释:
《名医别录》、《神农本草经》记载,将苍术、艾叶两味药燃烧后所产生的烟熏,对于常见的金黄色葡萄球菌、枯草杆菌、甲乙型溶血性链球菌、白喉杆菌、肺炎双球菌均有明显的抑制作用;苍术里则含有桉醇、苍术醇等成分,对结核杆菌、金黄色葡萄球菌、铜绿假单胞菌等也有杀灭作用。











